Линки доступности

Наш мозг изменчив и пластичен


Наш мозг изменчив и пластичен
Наш мозг изменчив и пластичен

Недавнее исследование еще на шаг приблизило ученых к ответу на вопрос о том, как работает мозг слепых людей. Сотрудники Джорджтаунcкого университета выяснили, каким образом слепые используют ту часть мозга, которая обычно отвечает за зрение.

Науке уже давно известно, что определенные участки мозга имеют свои соответствующие функции. Одна часть отвечает за дыхание, другая за обоняние. Затем же обнаружилось, что мозг изменчив – или «пластичен» – и может в случае необходимости перестроиться.

Профессор Джорджтаунcкого университета Джозеф Раушекер занимался изучением этого феномена. Не этим ли объясняется то, что слепые, как полагают, компенсируют отсутствие зрения повышенным развитием других органов чувств?

«Возьмем, к примеру, тот факт, что среди слепых встречается огромное количество талантливых музыкантов. Только подумайте – это и Рэй Чарльз, и Стиви Вандер, и многие другие. Любителям классики сразу придет на ум Андреа Бочелли», – говорит ученый.

Предыдущие исследования Раушекера и его коллег показали, что у слепых людей зрительная зона коры головного мозга может использоваться для обработки осязательных и слуховых ощущений. Однако и сама зрительная зона разделена на множество отдельных частей, которые выполняют различные связанные со зрением функции.

«Теперь вопрос в том, организован ли мозг слепых таким же образом, действительно ли эти части продолжают функционировать, переориентировавшись на осязание и слух? И наш ответ – да», – говорит Раушекер.

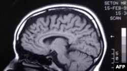
Чтобы ответить на этот вопрос, исследователи с помощью магнитно-резонансной томографии получили визуальный образ мозговой активности слепых в тот момент, когда те испытывали различные слуховые и осязательные ощущения. Таким образом, ученые смогли увидеть, какая часть мозга работает в этих случаях. Например, когда с помощью стерео колонок воспроизводилось трехмерное пространство, активировалась часть мозга, отвечающая за восприятие пространства, как это бы происходило в мозгу зрячего.

По словам Раушекера, благодаря этому и более ранним исследованиям, они смогли сконструировать прообраз прибора для слепых, перерабатывающего снятые камерой изображения в слуховые ощущения.

«Так что мы надеемся создать прибор, который будет, грубо говоря, трансформировать визуальную информацию в слуховую, а затем мозгу слепого останется лишь обработать звуковые и осязательные сигналы», – поясняет ученый.

Джозеф Раушекер и его коллеги рассказали о результатах своей работы в журнале «Neuron».

О новостях науки и техники читайте здесь

XS
SM
MD
LG